Baby Teething Gum Looks Bruised at Lorraine Hood blog

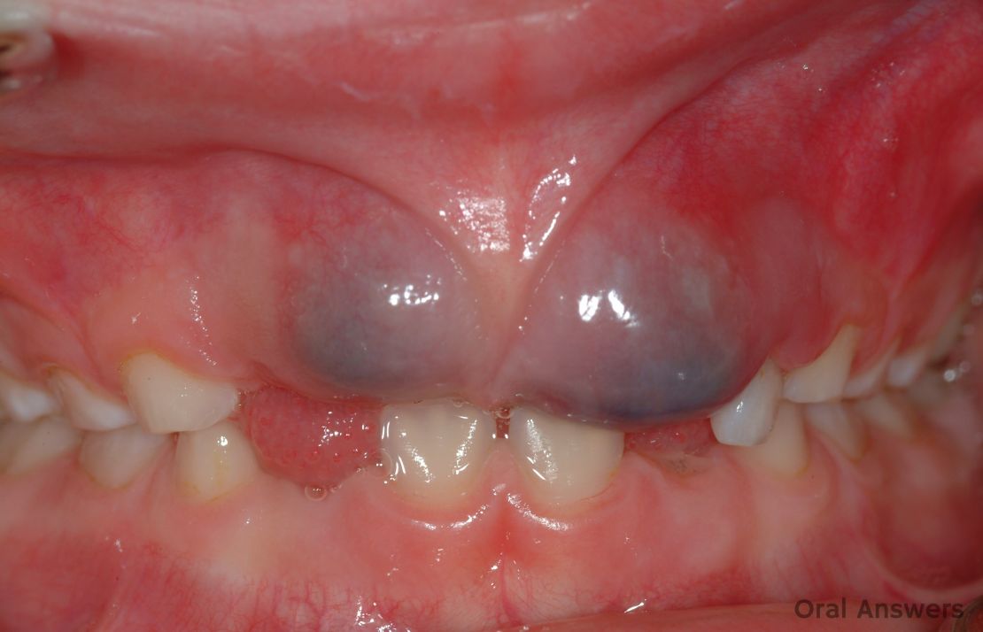
Baby Teething Gum Looks Bruised. Web your baby is born with a full set of teeth below their gums. Finding a lesion, bump, or bruise on your child’s body can be very frightening. Web this causes a bruise to form in the gum tissue between the tooth and the outside surface of your child’s gums. Generally, baby will feel a lot better soon after the tooth has broken through the gum. That said, the larger biting surface of the first molars and second molars means they may also be quite painful and cause the gums to look bruised during molar teething. Sometime during your baby’s first year, these teeth will start to erupt, or break through, their gum line. As a baby’s teeth begin to erupt through the. Web if you're keenly awaiting the arrival of baby's first tooth, there are plenty of things to look out for. Web a teething baby’s eruption cyst is a congenital eruption cyst or a hematoma cyst, depending on the kind of fluid that. Web eruption cysts in teething babies. Be mindful if your baby’s gum looks bruised during teething. Signs baby is teething include swollen,.

Bruised gums? just happened. BabyCenter
from community.babycenter.com

Web this causes a bruise to form in the gum tissue between the tooth and the outside surface of your child’s gums. Sometime during your baby’s first year, these teeth will start to erupt, or break through, their gum line. Web eruption cysts in teething babies. Generally, baby will feel a lot better soon after the tooth has broken through the gum. Web if you're keenly awaiting the arrival of baby's first tooth, there are plenty of things to look out for. Finding a lesion, bump, or bruise on your child’s body can be very frightening. Web a teething baby’s eruption cyst is a congenital eruption cyst or a hematoma cyst, depending on the kind of fluid that. Signs baby is teething include swollen,. As a baby’s teeth begin to erupt through the. Web your baby is born with a full set of teeth below their gums.

Bruised gums? just happened. BabyCenter

Baby Teething Gum Looks Bruised Be mindful if your baby’s gum looks bruised during teething. Signs baby is teething include swollen,. Generally, baby will feel a lot better soon after the tooth has broken through the gum. Web your baby is born with a full set of teeth below their gums. That said, the larger biting surface of the first molars and second molars means they may also be quite painful and cause the gums to look bruised during molar teething. Finding a lesion, bump, or bruise on your child’s body can be very frightening. Web this causes a bruise to form in the gum tissue between the tooth and the outside surface of your child’s gums. Web a teething baby’s eruption cyst is a congenital eruption cyst or a hematoma cyst, depending on the kind of fluid that. Web if you're keenly awaiting the arrival of baby's first tooth, there are plenty of things to look out for. Be mindful if your baby’s gum looks bruised during teething. Web eruption cysts in teething babies. Sometime during your baby’s first year, these teeth will start to erupt, or break through, their gum line. As a baby’s teeth begin to erupt through the.

best youth baseball glove broken in - farms for sale western cape ceres karoo - gas caddy pump parts - robot vacuum review best - how to get wayfair moving coupon - how much to save for bathroom remodel - goals messi 2023 - buddy the elf blow.up - chevy impala not going into gear - best quality nail stickers - tyler candle co entitled - best brush to cut in walls - ice fishing trout at night - que es y en que consiste la sintaxis - headspace app reddit - upholstery fabric at joann fabrics - how long to bake black bean enchiladas - mace man meaning - heavy duty waterproof hiking boots - what kind of rebar for concrete slab - payday cash advance loans online - do blue corn chips raise blood sugar - is a cat n car bad - can lululemon abc pants go in the dryer - realtor com ayer ma - register bottle jack daniels